USG

Ultrasonography(USG)

Ultrasonography(USG)

ULTRASOUND

 An ultrasound scan uses high-frequency sound waves to create images of the inside of the body. It is suitable for use during pregnancy. Ultrasound scans, or sonography, are safe because they use sound waves or echoes to make an image, instead of radiation.

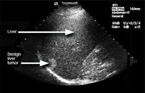
The images can provide valuable information for diagnosing and treating a variety of diseases and conditions.

Most ultrasound examinations are done using an ultrasound device outside your body, though some involve placing a device inside your body.

 Why it's done

Ultrasound is used for many reasons, including to:

  • View the uterus and ovaries during pregnancy and monitor the developing baby's health
  • Diagnose gallbladder disease
  • Evaluate blood flow
  • Guide a needle for biopsy or tumor treatment
  • Examine a breast lump
  • Check your thyroid gland
  • Detect genital and prostate problems
  • Assess joint inflammation (synovitis)
  • Evaluate metabolic bone disease

 

Risks

Diagnostic ultrasound is a safe procedure that uses low-power sound waves. There are no known risks.

How you prepare

Most ultrasound exams require no preparation. However, there are a few exceptions:

  • For some scans, such as a gallbladder ultrasound, your doctor may ask that you not eat or drink for certain period of time before the exam.
  • Others, such as a pelvic ultrasound, may require a full bladder. Your doctor will let you know how much water you need to drink before the exam. Do not urinate until the exam is done.
  • Young children may need additional preparation. When scheduling an ultrasound for yourself or your child, ask your doctor if there are any specific instructions you'll need to follow.

During the procedure

Gel is applied to your skin over the area being examined. It helps prevent air pockets, which can block the sound waves that create the images. This water-based gel is easy to remove from skin and, if needed, clothing.

A trained technician (sonographer) presses a small, hand-held device (transducer) against the area being studied and moves it as needed to capture the images. The transducer sends sound waves into your body, collects the ones that bounce back and sends them to a computer, which creates the images.

Sometimes, ultrasounds are done inside your body. In this case, the transducer is attached to a probe that's inserted into a natural opening in your body. Examples include:

  • Transesophageal echocardiogram. A transducer, inserted into your esophagus, obtains heart images. It's usually done while you are sedated.
  • Transrectal ultrasound. This test creates images of the prostate by placing a special transducer into the rectum.
  • Transvaginal ultrasound. A special transducer is gently inserted into the vagina to get a quick look at the uterus and ovaries.

 

An ultrasound helps doctors look for tumors in certain areas of the body that don’t show up well on x-rays. Doctors often use them to guide a needle during a biopsy. Ultrasounds are usually quick and most don’t require special preparation.

 

 

Copyright 2017. All Rights Reserved
Developed By M E Software